Welcome to our dazzing dental haven where smiles are our speciality!
Dive into our treasure of weekly blog updates bringing with smiles fascinating facts to keep your grin gleaming.
From top tips on caring for your pearly whites to innovative ways to enhance your oral health, we’ve got the insights to make your smile sparkle.
Join us and unlock the secret to a healthier, more radiant you.
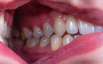
Bleeding Gums and Bad Breath: The Gum Disease Questions Barnet Patients Keep Googling
Gums that bleed when you brush are not something to file away and forget. A lot of people in Barnet have been told by previous dentists, or have simply assumed, that a bit of bleeding is normal. It is not. Bleeding gums are gums that are inflamed. Inflammation means...
Teeth Whitening in Barnet: What the Supermarket Kits Won’t Tell You
Introduction Most people who want whiter teeth have already tried something. A whitening toothpaste. Strips from Boots. One of the online kits that arrives in a box with a little LED light. They use it for a week or two, see some improvement, and then it stops...
Dental Implants in North London: What Nobody Tells You Before You Book
Introduction Dental implants are the most researched decision most patients make about their teeth. By the time someone books a consultation, they have usually spent weeks online, compared prices across several clinics, and come in with a printed quote or two. And yet...
Invisalign in Barnet: Honest Answers to the Questions Patients Are Too Embarrassed to Ask
Introduction Most people considering Invisalign have been thinking about it for longer than they would admit. They have looked at the Instagram before-and-afters. They have googled the price at midnight. They have wondered whether they are too old, whether it will...
Why Barnet Residents Keep Switching to Private Dentists (And What to Look For)
Introduction If you have lived in Barnet for any length of time, you already know the situation. NHS dental lists across EN5 and the surrounding postcodes have been closed or paused for years. When a friend or neighbour tells you their NHS dentist is not taking new...
Invisalign in Barnet: What to Expect at Allure Dental Care What to Expect at Allure Dental Care
If you've ever caught yourself covering your mouth when you laugh, or avoiding photos because you're self-conscious about crooked teeth, you already know the toll it takes. Straightening teeth as an adult used to mean metal brackets, tightening appointments every few...
Who Should Get IV Drip Therapy — And When Is the Right Time?
If you've been hearing more about IV drip therapy lately, you're not alone. From celebrity wellness routines to sports recovery programmes, intravenous vitamin infusions have moved firmly into the mainstream — and for good reason. But one question we hear constantly...
IV Drip Therapy in Barnet: Your Complete Guide to Hydration, Energy & Wellness
Introduction In our fast-paced modern world, maintaining optimal health and vitality can feel like a constant uphill battle. Whether you're juggling a demanding career, recovering from illness, or simply looking to enhance your overall wellbeing, your body often needs...
Allure Dental Care & Aesthetics – Your Trusted Dentist in Chipping Barnet, England
Introduction: More Than Just a Drill and Fill Have you ever walked into a dental practice and felt a wave of anxiety wash over you? You are certainly not alone. For many people, visiting the dentist in Chipping Barnet, England, can feel like a necessary, but often...
Allure Dental Care & Aesthetics – Dentist in Chipping Barnet, England
Allure Dental Care & Aesthetics – Dentist in Chipping Barnet, England Welcome, lovely reader! If you’re looking for a trusted dentist in Chipping Barnet who treats you like a friend rather than a patient number, then Allure Dental Care & Aesthetics is just the...










